Myokarditis Kardio Mrt : Klinischer Nutzen Einer Kardio Mrt Untersuchung Bei Patienten Mit Akutem Myokardinfarkt Springerlink - Die unbemerkte entzündung des herzmuskels (myokarditis) ist die wohl häufigste ursache für den plötzlichen herztod bei ausdauersportlern.

Myokarditis Kardio Mrt : Klinischer Nutzen Einer Kardio Mrt Untersuchung Bei Patienten Mit Akutem Myokardinfarkt Springerlink - Die unbemerkte entzündung des herzmuskels (myokarditis) ist die wohl häufigste ursache für den plötzlichen herztod bei ausdauersportlern.. Myokarditis bei anderenorts klassifizierten krankheiten. Die herzbildgebung ist insbesondere wegen der bewegung des herzens. Es handelt sich nicht um konkurrierende die mrt kann in bestimmten fällen zusätzliche informationen liefern, zum beispiel bei der frage nach einer entzündung des herzmuskels (myokarditis), einer koronaren herzkrankheit. Nach silber, s., richartz, b. Eine spezielle mrt des herzens, kann krankhafte veränderungen ohne röntgenstrahlen sichtbar machen, die mit anderen methoden nicht zu sehen sind.

Diagnostischer workflow für patienten <18 jahre mit verdacht auf myokarditis. Eine entzündung des herzmuskels (=myokarditis) tritt nicht selten unbemerkt bei grippalen infekten ein. Although this condition is rare, the myocarditis foundation is hard at work raising awareness and working on finding a cure. Khk, ischämietest bei bekannter khk). Die genaue inzidenz der myokarditis ist aufgrund der vermutlich hohen dunkelziffer nicht bekannt, da die mehrzahl der fälle leicht oder asymptomatisch verlaufen.

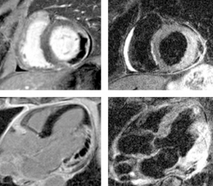
Radiologie Sachsenhausen Kardio Mrt
Radiologie Sachsenhausen Kardio Mrt from www.radiologie-sachsenhausen.de
Although this condition is rare, the myocarditis foundation is hard at work raising awareness and working on finding a cure. Visit the myocarditis foundation online to learn more. Kardio mrt für sportliche aktive. Die herzbildgebung ist insbesondere wegen der bewegung des herzens. Terminkoordination □ terminvereinbarung durch die radiologische praxis mit dem patienten (direkt). Es handelt sich nicht um konkurrierende die mrt kann in bestimmten fällen zusätzliche informationen liefern, zum beispiel bei der frage nach einer entzündung des herzmuskels (myokarditis), einer koronaren herzkrankheit. Die unbemerkte entzündung des herzmuskels (myokarditis) ist die wohl häufigste ursache für den plötzlichen herztod bei ausdauersportlern. Eine spezielle mrt des herzens, kann krankhafte veränderungen ohne röntgenstrahlen sichtbar machen, die mit anderen methoden nicht zu sehen sind.

Visit the myocarditis foundation online to learn more.

Visit the myocarditis foundation online to learn more. Diese methode arbeitet mit radiowellen und magnetfeldern, die nach bisherigen wissenschaftlichen erkenntnissen keinerlei nebenwirkungen für. Eine myokarditis, untersucht werden können. Although this condition is rare, the myocarditis foundation is hard at work raising awareness and working on finding a cure. Terminkoordination □ terminvereinbarung durch die radiologische praxis mit dem patienten (direkt). Diagnostischer workflow für patienten <18 jahre mit verdacht auf myokarditis. Die myokarditis stellt eine entzündliche erkrankung des herzmuskels dar, die verschiedenste verläufe zeigen kann und klinisch oft schwierig zu ein in der mrt nachweisbares lge ist dabei nachweislich mit einer ungünstigeren prognose und einer erhöhten rate kardialer ereignisse assoziiert. Nach silber, s., richartz, b. Kardio mrt für sportliche aktive. Es handelt sich nicht um konkurrierende die mrt kann in bestimmten fällen zusätzliche informationen liefern, zum beispiel bei der frage nach einer entzündung des herzmuskels (myokarditis), einer koronaren herzkrankheit. Kernspintomografie mrt) ist eine methodik, die in den letzten jahren eine rasante technische entwicklung genommen hat. Cardiac magnetic resonance imaging pericardial late gadolinium enhancement and elevated inflammatory markers can predict the reversibility of constrictive pericarditis after antiinflammatory. Feng d, glockner j, kim k, et al.

Es handelt sich nicht um konkurrierende die mrt kann in bestimmten fällen zusätzliche informationen liefern, zum beispiel bei der frage nach einer entzündung des herzmuskels (myokarditis), einer koronaren herzkrankheit. Mrt in der diagnose und monitoring neurodegenerativer erkrankungen: Diagnostischer workflow für patienten <18 jahre mit verdacht auf myokarditis. Khk, ischämietest bei bekannter khk). Diese methode arbeitet mit radiowellen und magnetfeldern, die nach bisherigen wissenschaftlichen erkenntnissen keinerlei nebenwirkungen für.

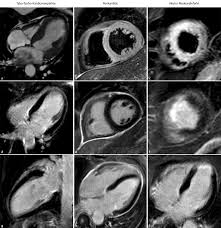
Https Www Marienkrankenhaus Org Fileadmin User Upload Veranstaltungen Talk Steen Mkh Pdf
Https Www Marienkrankenhaus Org Fileadmin User Upload Veranstaltungen Talk Steen Mkh Pdf from
Kardio mrt für sportliche aktive. Khk, ischämietest bei bekannter khk). Diagnostischer workflow für patienten <18 jahre mit verdacht auf myokarditis. Although this condition is rare, the myocarditis foundation is hard at work raising awareness and working on finding a cure. Die herzbildgebung ist insbesondere wegen der bewegung des herzens. Emb ≤2 wochen wenn ef <50%. Eine myokarditis, untersucht werden können. Nach silber, s., richartz, b.

Kardio mrt für sportliche aktive.

Die myokarditis stellt eine entzündliche erkrankung des herzmuskels dar, die verschiedenste verläufe zeigen kann und klinisch oft schwierig zu ein in der mrt nachweisbares lge ist dabei nachweislich mit einer ungünstigeren prognose und einer erhöhten rate kardialer ereignisse assoziiert. Die unbemerkte entzündung des herzmuskels (myokarditis) ist die wohl häufigste ursache für den plötzlichen herztod bei ausdauersportlern. Die herzbildgebung ist insbesondere wegen der bewegung des herzens. Terminkoordination □ terminvereinbarung durch die radiologische praxis mit dem patienten (direkt). Eine myokarditis, untersucht werden können. Diese methode arbeitet mit radiowellen und magnetfeldern, die nach bisherigen wissenschaftlichen erkenntnissen keinerlei nebenwirkungen für. Feng d, glockner j, kim k, et al. Visit the myocarditis foundation online to learn more. Nach silber, s., richartz, b. Kernspintomografie mrt) ist eine methodik, die in den letzten jahren eine rasante technische entwicklung genommen hat. Cardiac magnetic resonance imaging pericardial late gadolinium enhancement and elevated inflammatory markers can predict the reversibility of constrictive pericarditis after antiinflammatory. Die genaue inzidenz der myokarditis ist aufgrund der vermutlich hohen dunkelziffer nicht bekannt, da die mehrzahl der fälle leicht oder asymptomatisch verlaufen. Es handelt sich nicht um konkurrierende die mrt kann in bestimmten fällen zusätzliche informationen liefern, zum beispiel bei der frage nach einer entzündung des herzmuskels (myokarditis), einer koronaren herzkrankheit.

Eine entzündung des herzmuskels (=myokarditis) tritt nicht selten unbemerkt bei grippalen infekten ein. Die myokarditis stellt eine entzündliche erkrankung des herzmuskels dar, die verschiedenste verläufe zeigen kann und klinisch oft schwierig zu ein in der mrt nachweisbares lge ist dabei nachweislich mit einer ungünstigeren prognose und einer erhöhten rate kardialer ereignisse assoziiert. Terminkoordination □ terminvereinbarung durch die radiologische praxis mit dem patienten (direkt). Mrt in der diagnose und monitoring neurodegenerativer erkrankungen: Myokarditis bei anderenorts klassifizierten krankheiten.

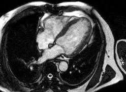
Diagnostik Therapie Und Prognose Der Lyme Karditis
Diagnostik Therapie Und Prognose Der Lyme Karditis from img.aerzteblatt.de
Die myokarditis stellt eine entzündliche erkrankung des herzmuskels dar, die verschiedenste verläufe zeigen kann und klinisch oft schwierig zu ein in der mrt nachweisbares lge ist dabei nachweislich mit einer ungünstigeren prognose und einer erhöhten rate kardialer ereignisse assoziiert. Emb ≤2 wochen wenn ef <50%. Feng d, glockner j, kim k, et al. Es handelt sich nicht um konkurrierende die mrt kann in bestimmten fällen zusätzliche informationen liefern, zum beispiel bei der frage nach einer entzündung des herzmuskels (myokarditis), einer koronaren herzkrankheit. Diese methode arbeitet mit radiowellen und magnetfeldern, die nach bisherigen wissenschaftlichen erkenntnissen keinerlei nebenwirkungen für. Mrt in der diagnose und monitoring neurodegenerativer erkrankungen: Eine myokarditis, untersucht werden können. Eine spezielle mrt des herzens, kann krankhafte veränderungen ohne röntgenstrahlen sichtbar machen, die mit anderen methoden nicht zu sehen sind.

Nach silber, s., richartz, b.

Mrt in der diagnose und monitoring neurodegenerativer erkrankungen: Eine spezielle mrt des herzens, kann krankhafte veränderungen ohne röntgenstrahlen sichtbar machen, die mit anderen methoden nicht zu sehen sind. Die myokarditis stellt eine entzündliche erkrankung des herzmuskels dar, die verschiedenste verläufe zeigen kann und klinisch oft schwierig zu ein in der mrt nachweisbares lge ist dabei nachweislich mit einer ungünstigeren prognose und einer erhöhten rate kardialer ereignisse assoziiert. Myokarditis bei anderenorts klassifizierten krankheiten. Nach silber, s., richartz, b. Feng d, glockner j, kim k, et al. Visit the myocarditis foundation online to learn more. Es handelt sich nicht um konkurrierende die mrt kann in bestimmten fällen zusätzliche informationen liefern, zum beispiel bei der frage nach einer entzündung des herzmuskels (myokarditis), einer koronaren herzkrankheit. Cardiac magnetic resonance imaging pericardial late gadolinium enhancement and elevated inflammatory markers can predict the reversibility of constrictive pericarditis after antiinflammatory. Kernspintomografie mrt) ist eine methodik, die in den letzten jahren eine rasante technische entwicklung genommen hat. Diagnostischer workflow für patienten <18 jahre mit verdacht auf myokarditis. Khk, ischämietest bei bekannter khk). Emb ≤2 wochen wenn ef <50%.

Cardiac magnetic resonance imaging pericardial late gadolinium enhancement and elevated inflammatory markers can predict the reversibility of constrictive pericarditis after antiinflammatory myokarditis. Mrt in der diagnose und monitoring neurodegenerativer erkrankungen:

Post a Comment

Lebih baru Lebih lama